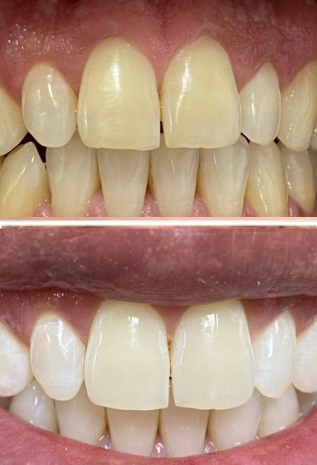
¿Qué es el blanqueamiento?
El blanqueamiento dental es un tratamiento estético dental que permite no sólo devolver un color más natural a nuestros dientes, sino también hacerlos más blancos y brillantes, mejorando así la sonrisa.
Las causas del oscurecimiento dental son numerosas, con el paso del tiempo los dientes absorben los pigmentos de la comida, de la bebida, del enjuague bucal y del tabaco, alterando su brillo y haciéndolos parecer más amarillos.
A veces son sólo manchas superficiales, como ocurre con el consumo excesivo de café o tabaco. Otras veces son más profundas, como ocurre con el uso prolongado de algunos medicamentos o por enfermedades dentales.

¿Cuántos tipos de blanqueamiento existen?
Existen varias soluciones para blanquear los dientes que nos permiten obtener una sonrisa deslumbrante de forma rápida y sencilla. Principalmente podemos distinguirlos en:
-
Blanqueamiento en clínica, consiste en la aplicación de un agente blanqueador a base de peróxido de hidrógeno. La activación del tratamiento se produce por una fuente de Luz LED y los resultados se pueden apreciar en una sola sesión.

-
Blanqueamiento en domicilio, se realiza cómodamente desde casa con férulas hechas a medida y un set de blanqueamiento. El proceso es algo más lento pero muy efectivo, pudiéndose ver los resultados en tan solo dos semanas.

También es posible recurrir a un tratamiento combinado, es decir, un tratamiento que alterna fases en clínica y fases domiciliarias.
Fases del blanqueamiento en clínica
-
Primero se aíslan los dientes de los tejidos blandos mediante un separador bucal y se realiza un pulido.
-
Luego se coloca el protector de encías para proteger las mucosas orales.
-
El gel blanqueador se distribuye en la cara vestibular (cara externa de los dientes) aplicando una luz LED que potencia la acción del gel de blanqueamiento.
-
Normalmente el gel se deja actuar unos 10 minutos aproximadamente. El tratamiento suele llevarse a cabo de una sola sesión sin embargo puede repetirse 2 o 3 veces según el resultado que deseemos conseguir.
-
Al final del procedimiento, los dientes se enjuagan cuidadosamente y se retira el protector de encías. En este punto, puede tomar las fotos finales y detectar el color para comprender cuál fue el efecto del producto.

Blanqueamiento en clínica

Blanqueamiento en domicilio
Fases del blanqueamiento en domicilio
-
Primero es necesario tomar los moldes y confeccionar unas férulas de plástico transparente sobre las que se aplica el gel blanqueador.
-
El paciente se colocará en casa las férulas con el gel durante el tiempo pautado por el odontólogo, normalmente dos horas al durante 10 días.
-
Una vez finalizado el tratamiento se acude a la clínica para una revisión y valorar el resultado.
Ventajas blanqueamiento dental
-
Para muchas personas, la estética es muy importante y, por lo tanto, tener una sonrisa sincera y brillante puede proporcionar motivaciones psicológicas para que se sientan a gusto.
-
El esmalte dental tiende a deteriorarse con los años y a adquirir un color amarillento, dando la impresión de una mala higiene bucal. Por eso el blanqueamiento puede resultar muy útil.
-
Los productos utilizados son totalmente seguros.
-
Efecto visible de inmediato y mejora en los días siguientes.






